17세기 백작 아들로 밝혀진 미이라 Unravelling the mystery of Austria's mummified TODDLER
Construction, Science, IT, Energy and all other issues
Search for useful information through the top search bar on blog!
건설,과학,IT, 에너지 외 국내외 실시간 종합 관심 이슈 발행
[10만이 넘는 풍부한 데이터베이스]
블로그 맨 위 상단 검색창 통해 유용한 정보를 검색해 보세요!
'부검' 결과 미이라는 사망한지
400년 전쯤으로 사인이 밝혀졌다.
17세기 귀족 가문 슈타렘베르크 백작 중 한 명의 아들
오스트리아에서 가장 오래된 귀족 가문 중 하나
이 어린이는 미이라 처리 과정에서 그의 연조직이 보존된 오스트리아의 가족 지하실 안에 있는 나무 관에 묻힌 채 발견되었다.
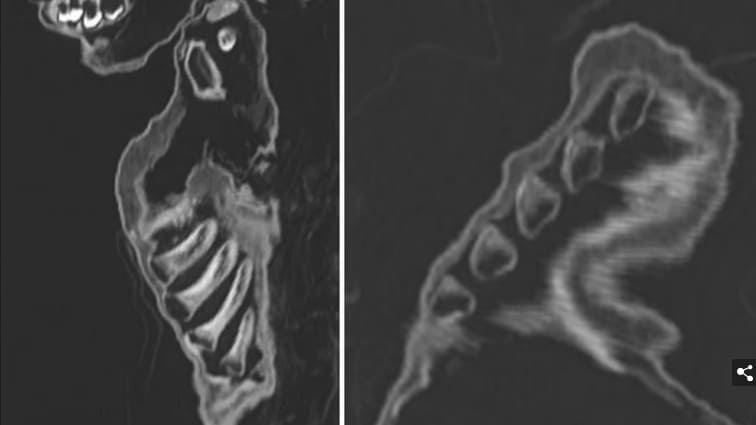
그의 몸은 폐렴과 비타민 D 결핍의 징후를 보여주는 CT 검사를 받았고, 방사성 탄소 연대 측정법은 그가 언제 죽었는지에 대한 다양한 날짜를 제공하기 위해 조직과 피부에 시행되었다.

- 이 착시 움직임을 10초 동안 정지시킬 수 있을까 VIDEO: Can YOU stop the squares in this optical illusion from moving for 10 seconds?
- 고고학 역사상 가장 희귀한 트로이 전쟁 모자이크 발견 VIDEO: 'Rarest ever' mosaic depicting the Trojan War is found in Syria
역사적 기록들은 또한 그의 배경에 대한 정보를 보여주었고, 그가 17세기 귀족 가문인 슈타렘베르크 백작 중 한 명의 아들이라는 것을 암시했다.
독일의 뮌헨-보겐하우젠 대학의 연구원들은 그 소년이 1625년 또는 1626년에 사망한 라이하르트 빌헬름일 가능성이 높다고 결론지었다.
주요 저자인 안드레아스 네를리히 박사는 '우리의 자료에 따르면, 그 아기는 아마도 가족 지하실을 세운 후 [백작의] 장남이었으므로 특별한 보살핌이 적용되었을 것이다.'라고 말했다.

17세기 백작 아들로 밝혀진 미이라 Unravelling the mystery of Austria's mummified TODDLER
슈타르크베르크 백작가는 오스트리아에서 가장 오래된 귀족 가문 중 하나이며, 그들의 지하묘지는 헬몬쇼트 마을의 빌트베르크 성에서 가까운 곳에 위치해 있다.
그 지하실에는 수많은 가족 구성원들이 있었는데, 그 모든 것들은 정교하게 장식된 금속 관에 묻혔고, 관은 나무이고 표시가 없는 한 명의 어린아이를 제외하고는 전부였다.
그의 매장 조건과 미라화는 그의 조직을 최첨단 기술을 사용하여 분석하여 그의 삶과 죽음에 대해 더 많이 밝힐 수 있을 정도로 보존했다.

오늘 Frontiers in Medicine에 발표된 이 연구를 위해, Nerlich 박사의 팀은 그의 치아를 연구했고 그의 뼈 길이를 측정했는데, 이것은 아이가 죽었을 때 12개월에서 18개월 사이였다는 것을 암시했다.
시신 해부 결과 아이는 남자였고, 머리카락이 검고 나이에 비해 과체중이어서 부모가 잘 먹일 수 있었던 것으로 나타났다.

- 세계 최고의 도미노 배치 로봇 VIDEO: World-record domino-placing robot powered by servos
- 놀라운 악력의 69세의 할아버지 ㅣ세계최강의 악력 가진 코코넛 크랩 VIDEO: Watch This 69-Year-Old Lifter Show Off His Amazing Grip Strength ㅣ Coconut crabs pack the world’s strongest grip
THE COUNTS OF STARHEMBERG
슈타인베르크 백작

슈타인베르크 가문은 슈타인바흐와 슈타인바흐에서 유래한 귀족 가문이다.
그들은 1643년부터 제국의 백작이었고, 1765년에 왕자로 승진했다.
가문의 구성원들은 신성 로마 제국과 이후 오스트리아-헝가리 제국 내에서 중요한 정치적 역할을 했다.
주목할 만한 구성원으로는 1683년 투르크에 대한 비엔나 도시 방어 사령관이자 야전 원수였던 에른스트 뤼디거 폰 슈타렘베르크 백작 (1638-1701)이 있다.
스타렘베르크의 에라스무스(1503-1560)는 오스트리아의 귀족이자 라이하르트 빌헬름의 증조부였다.
황기철 콘페이퍼 에디터 국토부 인플루언서
Ki Chul Hwang Conpaper editor influencer
(Source:
dailymail.co.uk/sciencetech/article-11353263/Virtual-autopsy-reveals-17th-century-mummy-aristocratic-toddler-died-pneumonia.html)
Researchers Recreated Voice of 3,000-Year-Old Egyptian Mummy | NowThis







